Common Procedures

Regular Exams and Cleanings
Regular exams are an important part of maintaining your oral health. During your regular exam, we will:
- Check for any problems that you may not see or feel
- Look for cavities or any other signs of tooth decay
- Inspect your teeth and gums for gingivitis and signs of periodontal disease
- Provide a thorough teeth cleaning
- Oral cancer exam
Your regular exam and cleaning can take an hour. Each regular exam includes a detailed teeth cleaning, in which we will clean, polish, and rinse your teeth to remove any tartar and plaque that has built up on the tooth's surface.
Visiting our office every six months gives you the chance to talk with your doctor and receive answers for any questions you may have about your oral health. Regular exams are offered by appointment only, so please contact our practice today to schedule your next dental exam and teeth cleaning.

Bonding
Bonding is a conservative way to repair slightly chipped, discolored, or crooked teeth. During dental bonding, a white filling is placed onto your tooth to improve its appearance. The filling "bonds" with your teeth, and because it comes in a variety of tooth-colored shades it closely matches the appearance of your natural teeth.
Tooth bonding can also be used for teeth fillings instead of amalgam fillings. Many patients prefer bonding fillings because the white color is much less noticeable than the silver amalgam fillings. Bonding fillings can be used on front and back teeth depending on the location and extent of tooth decay.
Bonding is less expensive than other cosmetic treatments and usually can be completed in one visit to our office. However, bonding can stain and is easier to break than other cosmetic treatments such as porcelain veneers. If it does break or chip, tell us immediately. The bonding can generally be easily patched or repaired in one visit.

Bridges
A bridge may be used to replace missing teeth, help maintain the shape of your face, and alleviate stress in your bite.
A bridge replaces missing teeth with artificial teeth, looks great, and literally bridges the gap where one or more teeth may have been. Your bridge can be made from gold, alloys, porcelain, or a combination of these materials and is bonded onto surrounding teeth for support.
The success of any bridge depends on its foundation — the other teeth, gums, or bone to which it is attached. Therefore, it's very important to keep your existing teeth, gums, and jaw healthy and strong.

Crowns
Crowns are a cosmetic restoration used to improve your tooth's shape or to strengthen a tooth. Crowns are most often used for teeth that are broken, worn, or have portions destroyed by tooth decay.
Crowns are "caps" cemented onto an existing tooth which fully cover the portion of your tooth above the gum line. In effect, the crown becomes your tooth's new outer surface. Crowns can be made of porcelain, metal, or both. Porcelain crowns are most often preferred because they mimic the translucency of natural teeth and are very strong.
Crowns are often preferable to silver amalgam fillings. Unlike fillings which apply metal directly into your mouth, a crown is fabricated away from your mouth. Your crown is created in a lab from your unique tooth impression which allows a dental laboratory technician to examine all aspects of your bite and jaw movements. Your crown is then sculpted just for you so that your bite and jaw movements function normally once the crown is placed.

Extractions
There are times when it is necessary to remove a tooth. Sometimes a baby tooth has misshapen or long roots that prevent it from falling out as it should, and the tooth must be removed to make way for the permanent tooth to erupt. At other times, a tooth may have so much decay that it puts the surrounding teeth and jaw at risk of decay, so your doctor may recommend removal and replacement with a bridge or implant. Infection, orthodontic correction, or problems with a wisdom tooth can also require removal of a tooth.
When it is determined that a tooth needs to be removed, your doctor may extract the tooth during a regular checkup or may request another visit for this procedure. The root of each tooth is encased within your jawbone in a "tooth socket," and your tooth is held in that socket by a ligament. In order to extract a tooth, the doctor must expand the socket and separate the tooth from the ligament holding it in place. While this procedure is typically very quick, it is important to share any concerns or preferences for sedation with us.
Once a tooth has been removed, neighboring teeth may shift causing problems with chewing or with your jaw joint function. To avoid these complications, your doctor may recommend that you replace the extracted tooth.

Fillings
Traditional dental restoratives (fillings) include gold, porcelain, and composite/amalgam. The strength and durability of traditional dental materials continue to make them useful for situations where restored teeth must withstand extreme forces that result from chewing, such as in the back of the mouth.
Newer dental fillings include ceramic and plastic compounds that mimic the appearance of natural teeth. These compounds, often called composite resins, are usually used on the front teeth where a natural appearance is important. They can be used on the back teeth as well depending on the location and extent of the tooth decay. Composite resins are usually more costly than the older silver amalgam fillings.
What's Right for Me?
Several factors influence the performance, durability, longevity and expense of dental restorations:
- The components used in the filling material
- The amount of tooth structure remaining
- Where and how the filling is placed
- The chewing load that the tooth will have to bear
- The length and number of visits needed to prepare and adjust the restored tooth
The ultimate decision about what to use is best determined in consultation with your doctor. Before your treatment begins, discuss the options with your doctor. To help you prepare for this discussion it is helpful to understand the two basic types of dental fillings: direct and indirect.
- Direct fillings are fillings placed immediately into a prepared cavity in a single visit. They include dental amalgam, glass ionomers, resin ionomers, and composite (resin) fillings. We prepare the tooth, place the filling, and adjust it during one appointment.
- Indirect fillings generally require two or more visits. They include inlays, onlays, veneers, crowns, and bridges fabricated with gold, base metal alloys, ceramics, or composites. During the first visit, we prepare the tooth and make an impression of the area to be restored. We then place a temporary covering over the prepared tooth. The impression is sent to a dental laboratory which creates the dental restoration. At the next appointment, we will cement the restoration into the prepared cavity and adjust it as needed.

Root Canal (Endodontic) Treatment
In the past, if you had a tooth with a diseased nerve, you'd probably lose that tooth. Today, with a special dental procedure called root canal treatment, you may save that tooth.
Inside each tooth is both the pulp and the nerve. The nerve is the vestige of the tissue that originally formed the tooth. Once the tooth has been in the mouth for a time, the functioning of the nerve is no longer necessary.
When a tooth is cracked or has a deep cavity, bacteria can enter the pulp. Germs can cause an infection inside the tooth. Left without treatment, pus builds up at the root tip in the jawbone, forming a "pus-pocket" called an abscess. An abscess can cause the pulp tissue to die. When the infected pulp is not removed, pain and swelling can result. Certain by-products of the infection can injure your jawbones and your overall health. Without treatment, your tooth may have to be removed.
Treatment often involves from one to three visits. During treatment, your general dentist or endodontist (a dentist who specializes in problems of the pulp) removes the diseased pulp. Next, the pulp chamber and root canal(s) of the tooth are cleaned and sealed. Often posterior teeth that have endodontic treatment should have a cast crown placed in order to strengthen the remaining structure. Then, as long as you continue to care for your teeth and gums with regular brushing, flossing, and checkups so that the root(s) of the restored tooth are nourished by the surrounding tissues, your restored tooth can last a lifetime.
Most of the time a root canal is a relatively simple procedure with little or no discomfort, involving one to three visits. Best of all, it can save your tooth and your smile!

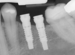
Implants
If you have missing teeth, it is crucial to replace them. Without all your teeth, chewing and eating can destabilize your bite and cause you discomfort. When teeth are missing, your mouth can shift and even cause your face to look older. Implants are a great way to replace your missing teeth.
An implant is a new tooth made of steel and porcelain that looks just like your natural tooth. Your implant is composed of two parts that mimic a tooth's root and crown. The implant's "root" is a titanium steel rod placed into the jaw bone to act as a root. Once the rod is in place, a porcelain crown is attached to replace the top part of your tooth.
Implants may also be used to anchor dentures, especially lower dentures that tend to shift when you talk or chew. Plus, for patients with removable partial dentures, implants can replace missing teeth so that you have a more natural-looking smile.

Sealants
Sometimes brushing is not enough. Everyone has hard-to-reach spots in their mouth and brushing doesn't always fully clean those difficult places. When that happens, you are at risk of tooth decay. Using sealants on your teeth gives you an extra line of defense against tooth decay.
Dental sealant is a plastic resin that bonds to the deep grooves in your tooth's chewing surface. When sealing a tooth, the grooves of your teeth are filled and the tooth surface becomes smoother — and less likely to harbor plaque. With sealants, tooth brushing becomes easier and more effective against tooth decay.
Sealants are usually applied to children's teeth as a preventive measure during the years of most likely tooth decay. However, adults' teeth can also be sealed. It is more common to seal "permanent" teeth rather than "baby" teeth, but every person has unique needs. Your doctor will recommend sealants on a case-by-case basis.
Sealants generally last from three to five years. However, it is fairly common to see adults with sealants still intact from their childhood. A dental sealant only provides protection when it is fully intact so if your sealant comes off you must let your dentist know.

Veneers
There's no reason to put up with gaps in your teeth or with teeth that are stained, discolored, badly shaped, chipped, or crooked. Today, a veneer placed on top of your teeth can correct nature's mistake or the results of an injury and help you have a beautiful smile. Veneers are a highly popular solution among dental patients because of their lifelike tooth appearance.
Veneers are thin, custom-made shells crafted of tooth-colored materials (such as porcelain) designed to cover the front side of your teeth. To prepare for veneers, we will create a unique model of your teeth. This model is sent to the dental technician to create your veneers. Before placing your new veneer, we may remove a small amount of your tooth to make room for the veneer.
When placed, you'll be pleased to see that veneers look like your natural teeth and even resist staining. Though veneers are stain resistant, your doctor may recommend that you avoid coffee, tea, red wine, and tobacco to maintain the beauty of your veneer.
Common Procedures
/ Pediatric Dentistry
/ Cosmetic Dentistry
/ Teeth Whitening
BriteSmile

